Buat Janji
Hubungi Kami
Layanan Setiap Hari
Cling Dental Clinic
Tentang Kami
Solusi Lengkap Perawatan Gigi Anda
Konsultasi Awal
Diagnosis & Rencana Perawatan
Tindakan Perawatan
Kontrol & Perawatan Lanjutan
Layanan Kami
Beragam perawatan gigi lengkap dengan standar medis terbaik.
Our Team
Our Specialist Doctors
our blogs
Latest posts & articles
FAQ
Happy to Answer All Your Questions
Bisa! 😊 Behel bisa dipasang pada satu rahang saja, tergantung kebutuhan dan kondisi gigi Anda. Behel satu rahang biasanya dilakukan jika:
– Gigi hanya pada satu rahang yang tidak rata atau berjejal
– Gigi pada rahang lain sudah rapi
Untuk biaya pemasangan behel, rontgen dan cabut gigi belum termasuk dalam biaya pemasangan behel, biasa nya sebelum pemasangan behel dokter gigi akan melakukan pemeriksaan termasuk rujukan untuk rontgen gigi, jika gigi anda ada yang perlu di cabut dokter akan menyarankan cabut gigi sebelum pemasangan behel.
Untuk harga promo tidak ada tambahan biaya, untuk harga promo juga sebisa mungkin kami nginfokan syarat dan ketentuan kepada pasien , yang dimana guna S&K ini untuk menghindari kesalah pahaman antara pasien dan dokter, jika ada tambahan biaya biasa nya dokter akan menginfokan sebelum tindakan di lakukan.
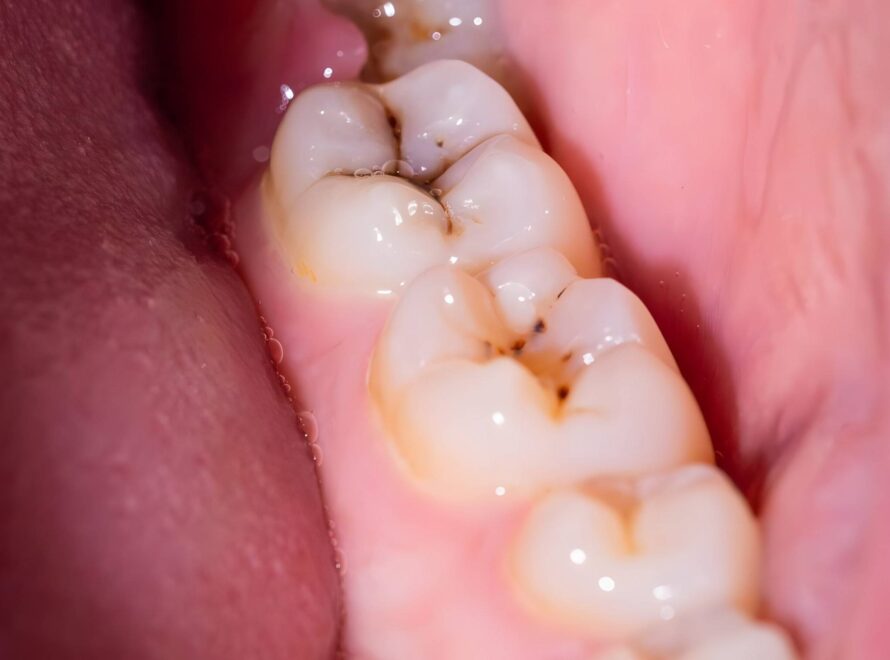
Tambal gigi belakang start 300rb/gigi di lihat dari besar kecil lubang dan kedalaman lubang. (net 1,5 jt)
Biasanya tidak bisa langsung pasang behel. 😊 Proses pemasangan behel biasanya memerlukan beberapa tahap:
- Konsultasi dan pemeriksaan gigi
- Rontgen gigi
- Cetak
- Scaling dan pembersihan gigi
- Cabut gigi (jika diperlukan)
- Pemasangan behel
Rontgen gigi biasanya wajib dilakukan sebelum pemasangan behel untuk melihat kondisi gigi dan tulang di sekitarnya. Ini membantu dokter gigi menentukan rencana perawatan yang tepat. 😊
Boleh! 😊 Cabut gigi dulu bisa dilakukan jika gigi yang berjejal atau rusak perlu dicabut sebelum pemasangan behel. Dokter gigi akan menentukan apakah perlu cabut gigi dulu atau tidak, tergantung kondisi gigi Anda.
Tidak disarankan merokok setelah scaling gigi 😊. Nikotin dan zat-zat lain dalam rokok dapat:
– Menghambat proses penyembuhan gusi
– Meningkatkan risiko infeksi
– Mengurangi efektivitas scaling
– Menyebabkan noda pada gigi
Untuk rontgen Terantung yang di butuhkan dari dokter , biasa nya dokter menyarankan untuk rontgen panoramic.
Scaling gigi saat hamil umumnya aman, tapi sebaiknya konsultasikan dengan dokter gigi dan dokter kandungan dulu 😊.
Bisa!, behel yang bisa di cicil :
- Metal growth
- Selfligating
- Napoleon
- Saphire
- Metal exclusive
- ceramic
Untuk promo sebaik nya di ambil sesuai dengan bulan promo nya , di karenakan tiap
bulan cling dental clinic mengadakan promo yang berbeda sesuai dengan yang di
Butuhkan.
Untuk tiap harga berbeda beda jika anda pasien baru dan ingin tambal gigi ,
tambal gigi kasus sedang Rp 450.000
S&k
– belum termasuk admin 50 RB (biaya hanya satu kali kunjungan saja)
– gratis konsultasi
– jika tambal gigi dalam dan luas ada tambahan biaya yg akan diinfokan oleh dokter
Dokter yang menangani di klinik kami adalah dokter gigi umum, tapi dokter kami
sudah memiliki les Ortho, jadi bisa menangani perawatan behel (ortodonti) 😊
Payment :
- Cash
- qris
- debit
- dan cc minimal transaksi 1jt
- asuransi (biasanya akan di cek terlebih dahulu oleh resepsionis cabang bisa di pakai atau tidak tergantung kebijakan setiap cabang)
- Pencabutan gigi
- Penambalan gigi
- Perawatan saluran akar
- Pemasangan behel
- Scaling kelas 1- 3
- Bleaching 1-3 x penyinaran
- Gigi palsu
Gigi bungsu tidak selalu wajib dicabut, tergantung kondisinya 😊. Jika:
– Gigi bungsu tumbuh normal dan tidak menyebabkan masalah
– Tidak ada infeksi atau kerusakan
– Tidak mengganggu gigi lain
Maka tidak perlu dicabut. Tapi jika:
– Gigi bungsu tumbuh miring atau impaksi
– Menyebabkan sakit atau infeksi
– Mengganggu gigi lain
Maka dokter gigi mungkin menyarankan untuk mencabutnya.
3-5 kali tergantung kasus gigi
Gigi berlubang sebaik nya ditambal dulu sebelum pemasangan behel agar hasil lebih maksimal 😊 . Dokter gigi akan menambal gigi berlubang terlebih dahulu, lalu setelah itu bisa dilanjutkan dengan pemasangan behel.
Bisa! dengan catatan masih sesama cabang cling dental clinic.
Bisa 😊. Pasien dari luar cabang bisa kontrol ke cabang Cling Dental Clinic, namun
sebaiknya konfirmasi dulu ke cabang yang ingin dikunjungi untuk memastikan
ketersediaan dokter dan jadwal.
Gipal (gigi palsu) biasanya tidak bisa dipasang behel langsung, karena behel dirancang
untuk gigi asli 😊. Namun alangkah baik nya di konsultasi kan dahulu dengan dokter gigi untuk solusinya.
Untuk pembayaran kita full di awal, pertemuan kedua tidak ada payment kecuali untuk
promo behel yang bisa dp ,(dp minimal 70%)
Untuk promo tergantung pada ketentuan promo , biasa nya kita ada beberapa jenis promo :
- Promo bulanan ( promo ini bisa di ambil di hari atau tanggal kapan saja selama tidak melawati bulan promo nya)
- Promo tanggal ( promo ini tergantung pada tanggal tanggal yang sudah di tentukan dari klinik dan tidak bisa di ambil di hari lain atau tanggal lain)













































































