Apa itu Karies Gigi?
Karies gigi merupakan salah satu masalah kesehatan gigi dan mulut yang paling sering dialami oleh masyarakat. Jika tidak ditangani sejak dini, karies dapat menyebabkan rasa nyeri, infeksi, hingga kehilangan gigi. Oleh karena itu, penting bagi setiap orang untuk memahami apa itu karies gigi dan bagaimana cara mencegahnya.
Penyebab Karies Gigi
Beberapa faktor utama penyebab karies gigi antara lain:
- Kurang menjaga kesehatan gigi
Jarang menyikat gigi atau menyikat gigi dengan cara yang kurang tepat dapat menyebabkan penumpukan plak. - Konsumsi makanan manis berlebihan
Makanan dan minuman manis seperti permen, cokelat, dan minuman bersoda dapat memicu pertumbuhan bakteri. - Penumpukan plak gigi
Plak adalah lapisan tipis yang mengandung bakteri dan menempel pada permukaan gigi. - Produksi air liur yang rendah
Air liur berfungsi membersihkan sisa makanan dan menetralkan asam di mulut. - Jarang melakukan pemeriksaan gigi
Tanpa pemeriksaan rutin, karies yang masih kecil sering tidak terdeteksi.
Gejala Karies Gigi
Pada tahap awal, karies sering tidak menimbulkan rasa sakit. Namun, seiring waktu, beberapa gejala berikut dapat muncul:
- Gigi terasa ngilu dan sensitif
- Nyeri saat mengunyah
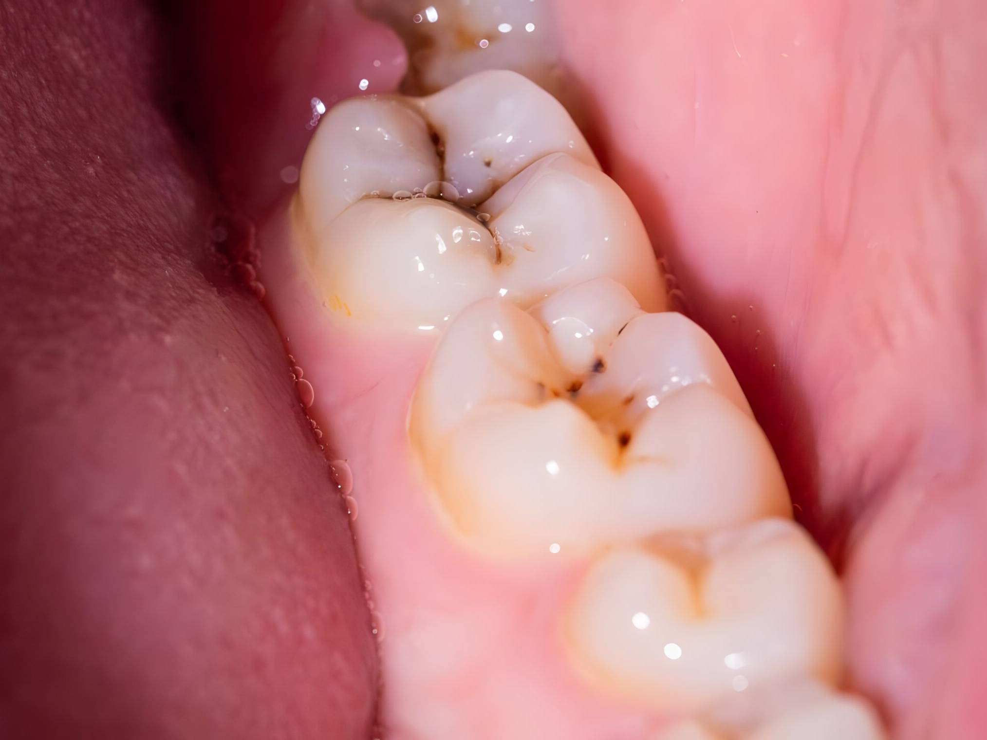
- Muncul bercak cokelat atau hitam pada gigi
- Terbentuk lubang pada gigi
- Bau mulut tidak sedap
- Pembengkakan pada gusi (pada kondisi tertentu)
Cara Mencegah Karies Gigi
Pencegahan karies dapat dilakukan dengan kebiasaan sederhana, antara lain:
- Menyikat gigi minimal dua kali sehari dengan pasta gigi berfluoride
- Menggunakan benang gigi untuk membersihkan sela-sela gigi
- Mengurangi konsumsi makanan dan minuman manis
- Memperbanyak minum air putih
- Rutin memeriksakan gigi ke dokter setiap 6 bulan sekali
- Menggunakan obat kumur bila diperlukan

